Arthroskopische Knieoperationen (Meniskusnaht, Meniskusteilentfernung, Scheibenmeniskus)
Die Meniskusverletzung
Der Innen- und Aussenmeniskus hat für das Kniegelenk vier Hauptaufgaben:
- er vergrössert die Kontaktfläche zwischen den gelenkbildenden Anteilen des Oberschenkel- und Unterschenkelknochens
- er besitzt eine Pufferfunktion (Schockabsorption)
- er fungiert als Stabilisator in der antero-posterioren Ebene (von vorn nach hinten).
- Schützt den Knorpel
Insgesamt hat der Meniskus somit eine wesentliche Funktion für die Gesundheit und Funktionsfähigkeit des Kniegelenkes. Verletzungen können schwerwiegende Folgen haben.
Daher gilt, wann immer möglich sollte der Meniskus erhalten werden:

SAVE THE MENISCUS !!!
Die Menisken

Darstellung eines gesunden Kniegelenkes (Fa. Smith&Nephew)
Diese Hauptfunktionen ermöglichen es, dass einwirkende Kräfte des Oberschenkelknochens auf den Unterschenkel adäquat übertragen werden. Die Elastizität ermöglicht dabei eine optimale Anpassung.

Knie bzw. Schienbeinkopf links und rechts in der Ansicht von oben. Die jeweils c-förmige Kontur der Menisken ist gut zu erkennen (Fa. Smith&Nephew)
Der Meniskus besteht aus speziellem Faserknorpel und ist ähnlich einem C oder einem Halbmond geformt, im Querschnitt ist er dreiecksförmig. Man unterteilt dieses «C» in ein Vorderhorn, Hinterhorn und den dazwischen liegenden Anteil (Pars intermedia). Die Ausrichtung der Kollagenfaserstruktur können Sie der folgenden Abbildung entnehmen (Bullough et al. 1970). Der schwarze Pfeil zeigt die Fasern in zirkumferenter Richtung, der grüne Pfeil zeigt die radialen Fasern, welche radial verlaufen und der blaue Pfeil markiert die ungerichtet laufenden Fasern.

schematische Darstellung der komplexen Meniskusanatomie
Bereits von der Geburt reduziert sich seine Gefässversorgung bis zum 10. Lebensjahr. Ab diesem Zeitpunkt werden nur noch ca. 20% der äusseren Meniskusanteile direkt über einsprossende Blutgefässe versorgt, die restlichen Anteile versorgen sich über die Gelenkflüssigkeit des Kniegelenkes. Bezüglich der Gefässversorgung erfolgt die Einteilung der Menisken auch in eine rote, rot-weisse und weisse Zone. Die Heilung des Meniskus ist von der Gefässversorgung abhängig, damit reparative Vorgänge stattfinden können. Verletzungen des Meniskus in der roten, also gut durchbluteten, ganz äusseren Zone zeigen gute Heilungstendenzen, in der weissen Zone hingegen gar nicht, so dass hier die Notwendigkeit der partiellen Entfernung besteht sofern Beschwerden bestehen.
Meniskusschäden können degenerativ bedingt sein (altersbedingte Abnutzung) oder traumatisch, also durch ein entsprechende Unfallereignis, nach Sturz, beim Sport. Oftmals handelt es sich hier um ein typisches Verdrehtrauma.

Je nach Morphologie des Einrisses am Meniskus unterteilt man unterschiedliche Typen wie zum Beispiel den Korbhenkelriss, einen Lappenriss oder einen Radiärriss etc. Fa. Smith&Nephew
Die von den Patienten angegebenen Beschwerden sind oftmals typisch. Es wird eine schmerzhafte Bewegungseinschränkung bemerkt, welche mit einer «Einklemmungserscheinung» oder einem «Blockadephänomen» einhergeht. Ebenso charakteristisch sind ein Druckschmerz über dem Gelenkspalt und das Ausbilden eines Gelenkergusses. Im Rahmen der klinischen Untersuchung des Kniegelenkes kann durch entsprechende Bewegungsmanöver Stress auf den Meniskus ausgeübt werden, Neben den Schmerzen führt der Meniskusschaden dazu, dass sich die Knorpellagen an den Knochenenden des Oberschenkels und Schienbeins schneller abnutzen, es somit frühzeitig zu Verschleisserscheinung, also zu einer Arthrose kommt. Als Mittel der Wahl bei der bildgebenden Diagnostik ist die Magnetresonanztomographie (MRT) zu nennen. Hier kann die Verdachtsdiagnose eines Meniskusschadens mit einer Genauigkeit von etwa 95% erhärtet werden.

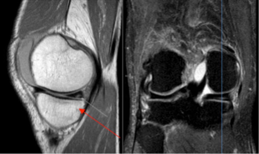
MRI-Bildgebung des Kniegelenks. Der rote Pfeil markiert die Meniskusläsion.

Intraoperatives Bild während der Kniegelenkspiegelung (Arthroskopie), im linken Bild ist ein Normalbefund zu sehen, im rechten Bild der Meniskusriss.
Sind die Beschwerden derart ausgeprägt, dass sie alltägliche, berufliche und/oder sportliche Betätigungen beeinträchtigen so ist die operative Therapie mit dem Patienten zu besprechen. Als Goldstandard hat sich hier die Arthroskopie (Gelenkspiegelung) etabliert. Je nach Ausmass der Verletzung, der Lage und dem Alter des Patienten wird dann entschieden, ob eine Naht des Meniskus möglich ist oder der verletzte Anteil entfernt wird. Eine totale Entfernung des Meniskus sollte heutzutage nicht mehr durchgeführt werden.
Eine Naht des Meniskus kann bspl. durchgeführt werden, wenn:
- der Riss relativ frisch ist
- der Patient jung ist
- ein stabiles Knie vorliegt
- der Riss weniger als 4mm von der Kapsel entfernt ist (Blutversorgung)

Verschiedene Nahttechniken und Instrumentarium zur arthroskopischen Versorgung verschiedener Meniskusläsionen. Mit freundlicher Genehmigung der Firma Smith&Nephew

Beispiel Op Technik der Firma Smith&Nephew
Videoanimation
3 besondere Typen von Meniskusverletzungen die zum Teil häufig übersehen werden
1. Korbhenkel
Eine Korbhenkelverletzung des Meniskus ist eine spezielle Form des Meniskusruptur, bei der ein Teil des Meniskus in einer Art und Weise abgerissen wird, die ihn an einer Seite noch mit dem Meniskus oder dem Gelenk verbunden lässt, während der andere Teil frei im Gelenk schwingt. Diese Verletzung ähnelt einem Korbhenkel, was zu dem Namen führte.
Korbhenkelverletzungen entstehen häufig durch Verdrehung des Knies und sind oft mit anderen Verletzungen des Knies, wie Kreuzbandrissen, assoziiert. Die Symptome können Schmerzen, Schwellungen, eine eingeschränkte Beweglichkeit des Knies und gegebenenfalls eine Blockade des Gelenks umfassen, wenn der frei bewegliche Meniskusteil das Knie in einer bestimmten Position blockiert.
In vielen Fällen ist eine operative Intervention erforderlich, um zu versuchen den Meniskus zu erhalten.
2. Die Rampenläsion
Eine Rampenläsion des medialen Meniskus ist eine spezifische Verletzung, die in der Regel bei Knieverletzungen auftritt, insbesondere nach traumatischen Ereignissen wie Sportverletzungen. Diese Art Verletzung wird häufig überssehen. Sie bezieht sich auf einen Riss im medialen Meniskus, der an einem bestimmten Bereich auftritt, der als "Rampe" bezeichnet wird.
Dieser Bereich befindet sich an der hinteren inneren Seite des Meniskus und ist in der Regel weniger stabil als andere Teile des Meniskus. Rampenläsionen können oft mit anderen Verletzungen des Knies, wie z. B. einem Kreuzbandriss, assoziiert sein. Die Symptome können Schmerzen, Schwellungen, eingeschränkte Beweglichkeit und Klickgeräusche im Knie umfassen.
Die Behandlung dieser Verletzung macht in vielen Fällen eine Operation erforderlich, um die Stabilität des Knies wiederherzustellen. Eine frühzeitige Diagnose ist entscheidend, um Folgeschäden zu vermeiden.
3. Die Wurzelruptur des Meniskus
Eine Meniskuswurzelruptur ist eine spezifische Art von Verletzung des Meniskus. Was diese Verletzung so besonders macht, ist, dass sie oft zu schwerwiegenderen Problemen führen kann, weil sie die Funktionalität des Knies massiv beeinträchtigt. Der Meniskus kann seine Gesamtfunktion nicht mehr ausführen. Biomechanisch ist dieser Zustand einer kompletten Meniskektomie, also dem kompletten Fehlen des Meniskus gleichzusetzen. Spitzendruckbelastungen führen zu einer frühzeitigen Arthrose die im weiteren Verlauf von sog. lokalen Insuffizienzfrakturen. Die Wurzel des Meniskus verbindet ihn mit dem Schienbeinkopf und spielt eine entscheidende Rolle bei der Druckverteilung und der Stoßdämpfung im Kniegelenk. Wenn diese Wurzel verletzt wird, kann dies die Funktion des Meniskus stark beeinträchtigen und zu Schmerzen, Schwellungen und einer verminderten Beweglichkeit führen. Diese Art Verletzung kann nur operativ therapiert werden mit einer speziellen Op Technik. Ein «all-inside» Verfahren ist hier nicht möglich. Es bedarf einer transossären Ausziehnahttechnik, dem sog. «Root Repair».

Darstellung einer medialen hinteren Wurzelruptur Mit freundlicher Genehmigung der Firma Smith&Nephew

Die Wurzel wird über einen stabilen Faden wieder an den Schienbeinkopf fixiert, die dazu benötigten Fäden werden vorne am Schienbein auf einem kleinen Metallplättchen verknotet. Mit freundlicher Genehmigung der Firma Smith&Nephew
Videoanimation
Scheibenmeniskus
Der Scheibenmeniskus ist eine eher seltene Normvariante, welche mit einer Inzidenz von bis zu 5% beschrieben wird. In den meisten Fällen ist der Scheibenmeniskus asymptomatisch, dass heisst, er führt zu keinen Beschwerden.
Der Scheibenmeniskus bedeckt als Scheibe die Gelenkfläche (aussen häufiger als innen) und ist dadurch stärker mechanisch beansprucht als ein normaler Meniskus. Hinzu kommt die weniger gute Qualität der Gewebestruktur.
Symptome werden durch die Patienten oft erst dann angegeben, wenn gleichzeitig ein Riss des Meniskus vorliegt. Bei einer Arthroskopie wird der Scheibenmeniskus auf eine physiologische Form und Grösse zurückgetrimmt, sofern der Restmeniskus anschliessend mit dem Tasthaken stabil erscheint. Im Rahmen der postoperativen Behandlung kann eine Vollbelastung an Stöcken für 1 Woche erfolgen.




