Hallux Rigidus
Erscheinung und Symptome
Schmerzhafte Verminderung der Beweglichkeit im Grosszehen-Grundgelenk, die im Extremfall beinahe invalidisierend werden kann. Damit einhergehend entstehen rund um das Gelenk sogenannte Osteophyten (eine Art von Überbeinen, die von der Erscheinung her ähnlich sind wie dasjenige beim Hallux Valgus; deswegen wird dieses Krankheitsbild oft auch mit diesem verwechselt).
Entstehung
Die genaue Ursache dieser Erkrankung ist nicht bekannt. Sicher ist, dass immer eine Arthrose grösseren oder kleineren Ausmasses damit einhergeht, jedoch selten eine Fehlstellung wie sie beim Hallux Valgus anzutreffen ist – die Grosszehen stehen in den weitaus meisten Fällen gerade. Häufig ist im Röntgenbild eine Überlänge des ersten Mittelfussknochens zu sehen.
Therapie
Kortison-Injektionen und das ausschliessliche Abtragen der Exostosen bringt, wenn überhaupt, nur kurze Zeit Besserung. Somit bleibt auch hier als beste Lösung die Chirurgie.
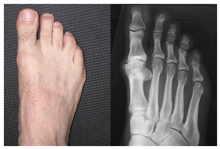
Mässig ausgeprägte Arthrose und überlanger erster Mittelfussknochen:
Entlastung des Gelenkes durch Verkürzen des ersten Mittelfussknochens. Hierbei wird nach dem Abtragen der Exostosen hinter dem Gelenkkopf eine V-förmige Durchtrennung des Knochens vorgenommen und der eine Schenkel um ca. 3-4mm verkürzt, was zu einer deutlichen Entspannung des Gelenkes und einer ebenso deutlichen Verbesserung der Beweglichkeit führt. Der Knochen wird mit einer Schraube wieder "zusammengesetzt", die nicht entfernt zu werden braucht. Dieser Eingriff führt auch zu einer Verbesserung auch der Gelenksverhältnisse, wie sich im Kontroll-Röntgenbild nach einem Jahr nachweisen lässt; allerdings lässt sich dabei die Arthrose nicht definitiv aufhalten.

Deutlich sichtbare Exostose vor der Operation

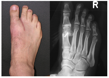
Postoperativ ist der Fuss noch geschwollen, aber die störenden Vorsprünge sind weg und die Beweglichkeit ist sowohl verbessert als auch schmerzfrei.
Deutlich ausgeprägte Arthrose und kurzer erster Mittelfussknochen
HemiCap / Toe Motion / Grosszehengrundgelenkprothese
Da der erste Mittelfussknochen nicht beliebig verkürzt werden darf, kann nun mit dieser neuen Methode der zerstörte Knorpel des Gelenkköpfchens durch eine anatomisch richtige Halbprothese, bestehend aus einer Verankerungsschraube aus Titan mit aufgesetzter Stahl- "Kappe", ersetzt werden. Bisherige Erfahrungen zeigen eine Verbesserung der Gelenksfunktion um mindestens 60% mit einem Rückgang der Schmerzen meist bis zu deren vollständigem Verschwinden.

HemiCap : komplettes Implantat (li) und im Modell eingebaut (re)

Vor dem Eingriff: praktisch steifes Grundgelenk und starke Schmerzen

Befund nach 3 Monaten: eindrücklich die fehlende Schwellung und die gute Funktion

Die neuere Variante, als kompletter Gelenkersatz des Grosszehengrundgelenkes, die Toe Motion Prothese links, rechts das postoperative Röntgenbild.
Versteifung des GZG
Die Versteifung des Grosszehengrundgelenkes zählt zu den nicht gelenkerhaltenden Operationen. Die Versteifung wird als Arthrodese bezeichnet und gilt in der aktuellen Literatur weiter als Goldstandrad für die operative Therapie des Hallux rigidus. Die Ergebnisse der Literatur zeigen konstant zufriedenstellende und reproduzierbare Ergebnisse i.S. der Schmerzreduktion und hoher Patientezufriedenheit mit operativ relativ geringem Aufwand. Für die Versteifung des Grosszehengrundgelenkes stehen verschiedene operative Methoden zur Verfügung. Eine gängige und relativ einfache Operationstechnik ist die gekreuzte Schraubenarthrodese wie im unteren Röntgenbild dargestellt.

Gekreuzte Schraubenarthrodese zur Versteifung des Grosszehengrundgelenkes




