Umstellungsosteotomien / Korrekturosteotomien
Korrektur-Osteotomien (Umstellungsoperation an Oberschenkel und Unterschenkel)
Knorpelschäden am Kniegelenk können auch durch eine Fehlstellung bedingt sein. Die häufigste Fehlstellung stellt hier das O-Bein dar, ein Genu varum. Bei dieser Varus-Fehlstellung kommt es zu einer übermäßigen Abnutzung der Knorpellagen auf der Kniegelenkinnenseite. Das X-Bein, Genu valgum ist weniger häufig. Hier kommt es zu einer entsprechenden Überlastung der Kniegelenkaussenseite. Diese Fehlstellungen können erworben sein (Knochenbrüche) oder angeboren.
Das Ausmaß der jeweiligen Fehlstellung kann neben der klinischen Untersuchung mit einer Ganzbeinstandaufnahme / Orthoradiogramm (Röntgen) sichtbar gemacht werden. Je nach Alter des Patienten und den Anforderungen und Wünschen an sein Kniegelenk kann «gelenkerhaltend» operiert werden. Das Voranschreiten des Knorpelschadens wird dadurch verzögert. Vor Durchführung einer Umstellungsoperation am Kniegelenk erfolgt häufig die MRI – Bildgebung des Kniegelenks oder eine Kniegelenksspiegelung, die Arthroskopie, um die Knorpelverhältnisse in den nichtbetroffenen Anteilen des Kniegelenks zu beurteilen und somit sicher zu gehen, daß eine Umstellungsosteotomie sinnvoll ist. Je nach Ort der Fehlstellung wird der Knochen (Oberschenkel oder Unterschenkel) an einem bestimmten Punkt durchtrennt und „aufgeklappt". Anhand der präoperativen Röntgenbilder wird das Ausmaß des Aufklappens in mm bestimmt. Anschliessend wird der Knochen in korrigierter Stellung über eine Platte mit Schrauben fixiert. Nach der Operation kann das Knie sofort aktiv und passiv bewegt werden. Während und nach dem Krankenhausaufenthalt sind physiotherapeutische Übungsbehandlungen notwendig. Die Vollbelastung kann nach etwa 6 bis 8 Wochen erfolgen, die Entfernung der Platte und Schrauben erfolgt in der Regel nach einem halben bis ein Jahr nach der Operation.
Es bestehen damit folgende Voraussetzungen für eine Umstellungsosteotomie:
- das weniger stark belastete Gelenkskompartiment darf nicht stark beschädigt sein.
- Bereitschaft des Patienten zu einer längeren Nachbehandlung, 2. Operation (Metallentfernung)
- entsprechende diagnostische Bildgebung (Arthroskopie, Röntgen und MRI)

Hohe Tibiaosteotomie (Unterschenkel) links.
Distale Femurosteotomie (Oberschenkel), Tomofix, Depuy Synthes rechts



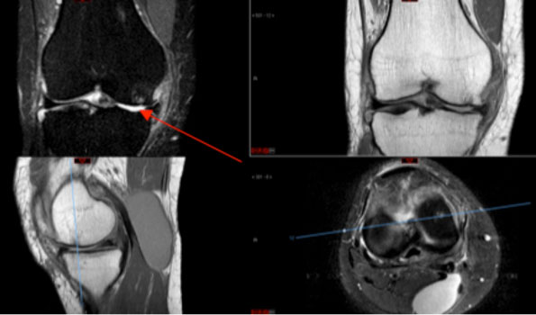
Beispiel einer hohen Tibiaosteotomie mit Tomofix-Plattensystem. Die oberen Bilder entsprechen der MRI-Bildgebung, im oberen linken Bild ist durch den roten Pfeil ein Knochenödem am Oberschenkel markiert. In der Ganzbeinaufnahme ist zu sehen, wie aus dem O-Bein ein X-Bein wurde. Die mechanische Beinachse (rot) wurde vom Innengelenk in das Aussengelenk des Knies verlagert



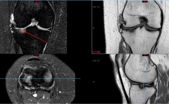
Beispiel einer distalen Femurosteotomie mit Tomofix-Plattensystem. Die oberen Bilder entsprechen der MRI-Bildgebung, im oberen linken Bild ist durch den roten Pfeil ein Knochenödem am Unterschenkel markiert. In der Ganzbeinaufnahme ist zu sehen, wie aus dem X-Bein ein O-Bein wurde. Die mechanische Beinachse (rot) wurde vom Aussengelenk in das Innengelenk des Knies verlagert.




