Myknee / Kinematic alignement
GMK Medacta Myknee / kinematic alignement und patientenspezifische Schnittblöcke
In der Knieendoprothetik, also der chirurgischen Versorgung durch die Implantation einer Prothese, spielt das Konzept des „Kinematic Alignment“ (kinematisches Alignment) eine zunehmend wichtige Rolle. Dieses Verfahren zielt darauf ab, die natürliche Biomechanik und die Bewegungsmuster des gesunden Knies so gut wie möglich nachzuahmen.
Was ist kinematisches Alignment?
Beim kinematischen Alignment werden die Prothesenteile so an die individuellen anatomischen Gegebenheiten des Patienten angepasst, dass die natürliche Bewegung und Funktion des Knies erhalten bleiben. Das bedeutet, dass die Ausrichtung der Prothese nicht nur auf Standardwerte basiert, sondern auch Faktoren wie die spezifische Form und Ausrichtung des Schienbeins und des Oberschenkelknochens berücksichtigt.

Vereinfachte Darstellung des kinematic Alignement (Fa. Medacta). Das kinematic Alignement folgt der patientenspezifischen Anatomie.
Videoanimation: https://more.medacta.tv/videos/kinematic-alignment/kinematic-alignment-3d-video-animation-showing-the-main-stpes-of-tka-procedure/
Warum ist das wichtig?
Eine präzise Justierung der Prothese kann dazu beitragen, die Funktion des Knies zu optimieren und die Belastung auf die umliegenden Strukturen zu minimieren. Dies kann das Risiko von Komplikationen und der Notwendigkeit für Folgeoperationen verringern. Viele Patienten berichten nach einem kinematisch ausgerichteten Eingriff von einer besseren Gelenkbeweglichkeit und weniger Schmerzen.
Wie wird das kinematische Alignement gewährleistet?
In der Regel wird dies über sogenannte PSI, patientenspezifische Schnittblöcke erzielt. Patientenspezifische Schnittblöcke in der Endoprothetik des Knies sind eine Art maßgeschneiderte Schablone, die an die individuelle Anatomie der Patienten angepasst werden. Diese Schablonen werden in der Regel mithilfe von modernen bildgebenden Verfahren, wie beispielsweise CT-Scans oder MRI-Scans, erstellt. Das Ziel dieser spezifischen Schnittblöcke ist es, die Operation zu vereinfachen und die Platzierung der Prothese präziser zu gestalten.
Wie funktionieren sie?
- Bildgebung: Zunächst wird eine bildgebende Untersuchung des Knies durchgeführt, um die genaue Anatomie des Gelenks zu erfassen.
- Planung: Anhand dieser Bilder wird ein computerassistiertes Modell des Knies erstellt. Daraus können die Schnittblöcke entworfen werden.
- Herstellung: Die patientenspezifischen Schnittblöcke werden dann aus biokompatiblen Materialien gefertigt, sodass sie im Operationssaal verwendet werden können.
- Einsatz: Während der Operation werden diese Blöcke verwendet, um präzise Schnitte am Oberschenkel- und Schienbeinknochen zu ermöglichen.


Planungssoftware nach erfolgter CT-Bildgebung zur Anfertigung der PSI (Patientenspezifische Schnittblöcke). Im unteren rechten Bild sind die Schnittblöcke schematisch auf den Oberschenkel – und Unterschenkelknochen positioniert. Mit freundlicher Genehmigung der Fa. Medacta


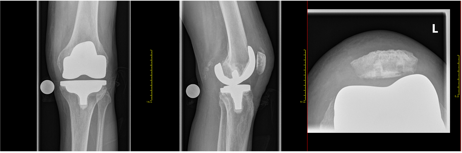
Beispiel eines Planungsreportes für das «kinematic Alignement» nach CT graphischer Vermessung für die operative Versorgung mit den PSI und postoperative Röntgenkontrolle (Orthoradiogramm und Knie links a.p.-seitlich mit Patella tangential) Aufnahme bei Patellarückflächenersatz

Vorteile der Verwendung:
- Präzision: Die Schnitte sind genau auf die Anatomie des Patienten abgestimmt, was die Passform der Prothese verbessert.
- Verkürzte Operationszeit: Durch die vorgefertigten Blöcke können die Chirurgen oft schneller und effizienter arbeiten.
- Reduzierte Komplikationen: Eine bessere Passform der Prothese kann das Risiko von Komplikationen, wie etwa Lockerung oder falsche Ausrichtung, verringern.
- Diese Technik ist besonders wertvoll, da sie die Individualität jedes Patienten berücksichtigt, was zu besseren funktionalen Ergebnissen nach der Operation führen kann.
Der Unterschied zu konventionellem Alignment
Im Gegensatz zum konventionellen Alignment, das oft auf standardisierten anatomischen Referenzpunkten basiert, versucht das kinematische Alignment, sich an die natürliche Gelenkachse und Bewegung des Patienten anzunähern. Dies kann zu einem individuelleren und oft (aber nicht immer) besseren Ergebnis führen.
Vorteile des kinematischen Alignments
- Natürliche Bewegungsführung: Das Gefühl beim Gehen, Treppensteigen oder Sitzen kann natürlicher und angenehmer sein.
- Vermeintlich weniger Komplikationen: Es wird angenommen, dass durch die bessere Anpassung an die individuelle Anatomie das Risiko von Implantatfehlern und anderen Komplikationen verringert wird.
- Schnellere Rehabilitation: Viele Patienten berichten von einer schnelleren Rückkehr zu ihren gewohnten Aktivitäten.
Gibt es auch Herausforderungen?
Ja, das kinematische Alignment erfordert eine präzise Planung und Durchführung durch den Operateur. Nicht jeder Patient ist der ideale Kandidat für diese Methode, und es ist wichtig, die besten Optionen im Rahmen eines ausführlichen Gesprächs mit dem behandelnden Arzt zu erwägen.
Zusammenfassend lässt sich sagen, dass das kinematische Alignment ein vielversprechender Ansatz in der Knieendoprothetik ist, der darauf abzielt, die Lebensqualität der Patienten nach einer Knieoperation zu verbessern.

GMK Sphere Fa. Medacta




