Patellainstabilität / MPFL
Kniescheibeninstabhilität /Patellaluxation / MPFL-Rekonstruktion
Das «Ausrenken» der Kniescheibe, die Luxation der Patella, geschieht in der überwiegenden Mehrzahl der Fälle nach aussen. Häufig handelt es sich um ein nicht adäquates Trauma. Die Patienten weisen entsprechend für eine Luxation begünstigende (prädisponierende) Faktoren auf. Dazu zählen unter anderem: ein X-Bein, eine Fehlbildung der Patella (Patelladysplasie), ein Hochstand der Patella oder eine Fehlbildung des Gleitlagers der Patella (Trochleadysplasie). Auch die ungünstige Position des Kniescheibensehnenansatzes gegenüber dem Gleitlager der Patella (Tuberositas Tibiae Trochlea Groove, TTTG Abstand) stellt einen begünstigenden Faktor dar. Ein Unfallmechanismus ist sehr selten direkt von medial (von innen) kommend. Meistens handelt es sich um jugendliche Patienten, bei denen die Kniescheibe während einer Drehbewegung in strecknaher Stellung «herausspringt». Nicht selten kommt es zu einer sogenannten Spontanreposition, das heisst, die Kniescheibe renkt sich von selbst wieder ein.
Zunächst erfolgt nach dem Unfall die klinische Untersuchung und gegebenenfalls Reposition der Kniescheibe. Das Gelenk wird zunächst in einer Orthese ruhiggestellt. Neben der Röntgenbildgebung ist vor allem die MRT Bildgebung im Verlauf anzustreben, um das Ausmass der Verletzung adäquat beurteilen zu können. Es geht vor allem um das Ausschliessen von Knorpelschäden an der Rückfläche der Kniescheibe und die Evaluation des Kapselbandapparates. Häufig ist das Band zerrissen (Mediales patello-femorales Ligament MPFL), welches die Kniescheibe nach innenseitig zügelt. Zusätzlich können prädisponierende Faktoren (z.B. TTTG-Abstand) anhand der MRT-Bilder ausgemessen werden.
Handelt es sich um ein Erstereignis oder liegt ein adäquates Trauma vor, können diese Verletzungen meist ohne Operation durch eine vorübergehende Ruhigstellung therapiert werden. War die Kniescheibe bereits öfters „verrenkt“ und/oder liegt in der MRT Bildgebung eine begleitende Verletzung des Kapsel-Band-Apparates mit entsprechenden prädisponierenden Faktoren vor, so ist eine operative Therapie nötig. Bei jeder erneuten Luxation können weitere Schäden im Knie insbesondere am Knorpel der Kniescheibe auftreten und so die Arthrose begünstigen.
Ein modernes Verfahren stellt die Rekonstruktion des medialen patello-femoralen Ligaments (MPFL), dar. Dieses Band ist ein wichtiger Stabilisator der Kniescheibe. Es verläuft zwischen der Innenseite der Kniescheibe und dem Oberschenkelknochen. Eine Naht ist insbesondere bei der chronischen Instabilität nicht möglich, sodass es mit einer körpereigenen Sehne augmentiert (verstärkt) wird. Hierfür benutzt man meist die Grazilissehne, welche über einen kleinen Schnitt auf der Innenseite des Unterschenkels entnommen werden kann. Das Transplantat wird am inneren Kniescheibenrand und am Oberschenkelknochen auf Höhe des ursprünglichen Bandes fixiert. Die Nachbehandlung erfolgt ebenso in einer Orthese mit Ruhigstellung des Gelenkes unter entsprechender Teilbelastung. Bei erhöhtem TTTG-Abstand kann eine zusätzliche „Versetzung“ des Ansatzes der Patellasehne am Unterschenkel erforderlich sein (medialisierende Tuberositas tibia-Osteotomie).

A. Instabilität der Kniescheibe durch eingeschränkte Funktionsfähigkeit der passiven medialen Stabilisatoren (MPFL)
B. Tendenz der Kniescheibe zur Lateralisierung (nach Aussen weichen der Kniescheibe, das MPFL verhindert dies)
C. Ein laterales Release führt zur weiteren Zunahme der Instabilität
D. Stabilisierung durch Rekonstruktion des MPFL

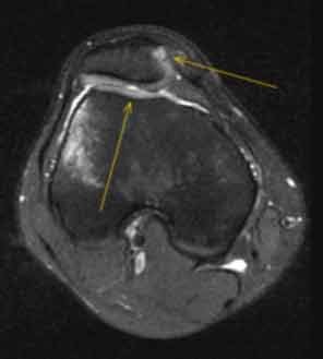
MRI-Bildgebung nach Kniescheibenluxation/Auskugelung, die gelben Pfeile markieren das Knochenmarködem sowie die Zerreissung des MPFL (oberer, rechter Pfeil).

Schematische Darstellung einer MPFL-Rekonstruktion / Verstärkung. (Bild: Firma Arthrex)




